Viêm lộ tuyến cổ tử cung là tình trạng bị viêm nhiễm ở phần lộ tuyến cổ tử cung. Bệnh viêm lộ tuyến gây nguy hiểm là viêm cổ tử cung, vô sinh, ung thư cổ tử cung, tắc vòi trứng, viêm nội mạc tử cung...
Viêm lộ tuyến cổ tử cung thường gặp hơn ở những phụ nữ đã sinh nở, đang có sinh hoạt tình dục, trong thời kỳ buồng trứng còn hoạt động mạnh, cũng rất hay gặp ở những người hay hút thai hoặc sảy thai.
Viêm lộ tuyến cổ tử cung là một tổn thương lành tính. Nhưng trong quá trình chúng xâm lấn ra, các tế bào bên ngoài cổ tử cung sẽ phản ứng tăng sinh nhằm đẩy lùi sự xâm lấn, có khi làm xuất hiện những tổn thương bị nghi ngờ là có thể dẫn đến u xơ cổ tử cung.
Bạn muốn biết:

Viêm lộ tuyến cổ tử cung là gì?
Viêm lộ tuyến cổ tử cung là tình trạng phần lộ tuyến nằm ngoài cổ tử cung bị vi trùng, nấm, ký sinh trùng, tạp trùng xâm hại và gây ra viêm nhiễm. Đây là căn bệnh phụ khoa gây nhiểu rắc rối trong quan hệ tình dục, sức khỏe sinh sản và có nguy cơ dẫn đến ung thư cổ tử cung.
Phụ nữ bị viêm lộ tuyến cổ tử cung thường có nhiều chất dịch ở âm đạo hơn bình thường và do đó dễ bị viêm âm đạo hơn do vi khuẩn có hại có điều kiện thuận lợi để phát triển.
Lộ tuyến cổ tử cung là gì?
Lộ tuyến cổ tử cung là các tế bào tuyến của cổ tử cung phát triển lộ ra mặt bên ngoài của cổ tử cung, có chức năng tiết dịch nhờn bôi trơn...
- Lộ tuyến cổ tử cung bị viêm chỉ là một tổn thương lành tính ở nữ giới, nhưng do các tế bào tuyến lộ ra ngoài vẫn tiết dịch nhờn cho nên thường sẽ bị tình trạng tăng tiết dịch âm đạo (ra nhiều khí hư hơn bình thường).
- Đây chính là điều kiện thuận lợi cho các vi khuẩn có hại, các loại nấm, ký sinh trùng… sinh sôi và phát triển, viêm nhiễm lan rộng gây ra các bệnh phụ khoa.
Viêm lộ tuyến cổ tử cung là một trong những loại viêm nhiễm phụ khoa xảy ra chủ yếu ở các chị em phụ nữ đã có quan hệ tình dục.
Nguyên nhân gây viêm lộ tuyến cổ tử cung
Bị mắc bệnh phụ khoa như viêm âm đạo, viêm vòi trứng… nhưng không điều trị kịp thời và triệt để dẫn đến tình trạng viêm nhiễm ngược dòng.
Viêm lộ tuyến tử cung do quan hệ tình dục: Việc chị em quan hệ tình dục sớm, quan hệ tình dục thô bạo…
Viêm lộ tuyến tử cung do phá thai: Việc phá thai không những gây tổn thương cho tử cung mà còn làm tăng nguy cơ bị viêm nhiễm tại bộ phận này do đây còn là con đường giúp cho các vi khuẩn gây bệnh xâm nhập vào bên trong tử cung (trường hợp này do dụng cụ phá thai không được vô trùng cẩn thận).
Triệu chứng viêm lộ tuyến cổ tử cung

Khí hư ra nhiều: Là dấu hiệu điển hình và dễ nhận biết của viêm lộ tuyến cổ tử cung. Bên cạnh đó, khí hư còn có mùi hôi khó chịu và có màu trắng đục hoặc vàng dính thành từng mảng.
Chảy máu ở âm đạo: Có thể xuất hiện sau khi quan hệ hoặc giữa chu kỳ kinh nguyệt.
Đau vùng xương eo và xương chậu: Có thể cảm thấy đau vùng xương eo và xương chậu do lộ tuyến dẫn tới các bệnh viêm nhiễm mãn tính tại các bộ phận liên kết.
Đi tiểu nhiều, tiểu đau, đau bụng hoặc lưng: Nhiễm trùng ở các bộ phận khác như viêm bàng quang với các triệu chứng như đi tiểu nhiều, tiểu đau, đau bụng, đau lưng.
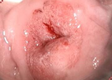
Biểu hiện viêm lộ tuyến
Khi đến phòng khám kiểm tra bằng máy sẽ thấy:
- Lớp biểu mô lẽ ra ở lỗ trong cổ tử cung, nhưng đã lan ra ngoài che phủ một phần cổ tử cung, ở dưới là lớp đệm.
- Có nhiều mạch máu tạo ra hình ảnh một tổn thương có màu đỏ và sần sùi giống như mô hạt.
Quan sát bằng máy sẽ thấy có 2 trường hợp bị viêm lộ tuyến cổ tử cung:
- Lộ tuyến nông là vùng tổn thương có thể xuất hiện trên diện rộng nhưng lớp tế bào liên kết ở bề mặt chưa hết hẳn.
- Lộ tuyến sâu là khi các lớp tế bào đã mất hết, lớp đệm phía dưới lộ hẳn lên bề mặt.
Mức độ viêm lộ tuyến cổ tử cung nặng hay nhẹ được đánh giá thông qua sự tổn thương của tế bào ở mức độ nông hay sâu. Để đánh giá chính xác mức độ tổn thương, cần phải khám và làm xét nghiệm tế bào.
Viêm lộ tuyến cổ tủ cung có nguy hiểm không
- Viêm nhiễm tại bộ phận sinh sản: Viêm cổ tử cung, viêm tắc vòi trứng, viêm nội mạc tử cung, viêm tiểu khung, … Có thể nói như vậy là do viêm lộ tuyến cổ tử cung tạo ra một lượng dịch âm đạo lớn và có mùi hôi, tạo môi trường tăng sinh cho các loại vi khuẩn (nấm, tạp khuẩn, trùng roi) hoặc các loại vi rút lây qua đường tình dục, … ở cổ tử cung. Ban đầu, các tác nhân gây bệnh gây viêm cổ tử cung, sau đó chúng xâm nhập ngược lên trên gây viêm tắc vòi trứng, viêm nội mạc tử cung, viêm tiểu khung.
- Gây vô sinh ở nữ: Viêm lộ tuyến cổ tử cung nếu không được điều trị kịp thời có thể gây hiếm muộn, vô sinh ở nữ, do lượng dịch trong âm đạo lớn gây cản trở quá trình di chuyển của tinh trùng, khiến cho tinh trùng khó có thể gặp trứng để thụ tinh. Hơn nữa, lượng dịch mà lộ tuyến tiết ra sẽ làm thay đổi nồng độ PH trong môi trường âm đạo theo hướng bất lợi cho tinh trùng, có thể làm chết tinh trùng ngay khi tinh trùng vừa đến âm đạo.
- Dẫn tới ung thư cổ tử cung: Lộ tuyến cổ tử cung diễn ra trong khoảng vài năm sẽ tạo điều kiện cho sự hình thành của ung thư cổ tử cung. Trong quá trình lộ tuyến xâm lấn ra bên ngoài cổ tử cung, các tế bào lát ở bên ngoài sẽ gây ra phản ứng tăng sinh nhằm đẩy lùi sự xâm lấn của các tế bào lộ tuyến gây ra những tổn thương, đó chính là mầm mống của ung thư.
Khi nào cần đến gặp bác sĩ
- Ngay khi thấy có tình trạng khí hư ra nhiều, bị chảy máu ở âm đạo, đau vùng xương chậu, đi tiểu nhiều, tiểu buốt, đau bụng và lưng… hãy trao đổi ngay với bác sĩ chăm sóc sức khỏe của bạn, không được trì hoãn việc đi khám và chữa trị.
- Nếu để tình trạng viêm lộ tuyến cổ tử cung kéo dài sẽ dẫn tới viêm nhiễm các cơ quan khác trong hệ sinh sản, ảnh hưởng nghiêm trọng đến sức khỏe sinh sản.
- Hãy đi đến phòng khám của bệnh viện hoặc phòng khám phụ khoa nếu bạn không thể liên lạc và gặp bác sĩ của bạn ngay lập tức. Hoặc ngay khi thấy các triệu chứng vẫn tiến triển dù đã được điều trị.
Bệnh viêm lộ tuyến cổ tử cung có những ảnh hưởng nghiêm trọng như vậy nên rất cần được phát hiện và điều trị sớm. Tốt, chị em nên đi khám phụ khoa định kỳ 6 tháng 1 lần để sớm phát hiện tất cả các bệnh, bảo vệ sức khỏe của bản thân.
Hình ảnh viêm lộ tuyến cổ tử cung




Nếu bạn thấy có những triệu chứng như trên thì hãy trao đổi với bác sĩ tư vấn ngay để có hướng chữa trị kịp thời.
Cách chữa viêm lộ tuyến cổ tử cung

3 cách chữa viêm lộ tuyến cổ tử cung được áp dụng phổ biến có hiệu quả là điều trị bằng thuốc, điều trị bằng vật lý trị liệu và điều trị bằng kỹ thuật dao LEEP. Trong đó, cách điều trị bệnh bằng kỹ thuật dao LEEP được coi là hiện đại, tiên tiến và có hiệu quả cao.
Cách điều trị viêm lộ tuyến cổ tử cung bằng thuốc
- Loại thuốc được sử dụng để điều trị viêm lộ tuyến cổ tử cung chủ yếu là thuốc đặt âm đạo, áp dụng đối với trường bệnh nhân mắc bệnh ở mức độ nhẹ. Bác sĩ sẽ căn cứ vào cơ địa, thể trạng và mức độ nặng nhẹ khác nhau để xây dựng phác đồ điều trị bằng thuốc cho bệnh nhân sao cho phù hợp và hiệu quả.
- Thông thường bệnh nhân mắc viêm lộ tuyến cổ tử cung sẽ được bác sĩ yêu cầu đặt thuốc trong khoảng 10 ngày.
Lưu ý: Điều trị bệnh viêm lộ tuyến cổ tử cung bằng thuốc chỉ có thể trị khỏi viêm nhiễm chứ không thể trị khỏi lộ tuyến nên nguy cơ tái phát bệnh là rất cao.
Hơn nữa, việc sử dụng thuốc để điều trị bệnh cũng cần hết sức cẩn trọng, bệnh nhân cần tuyệt đối tuân thủ theo đúng chỉ dẫn của bác sĩ thì mới có hiệu quả, nếu không sẽ rất nguy hại cho sức khỏe.
Cách điều trị viêm lộ tuyến cổ tử cung bằng vật lý trị liệu
- Cách điều trị viêm lộ tuyến cổ tử cung bằng vật lý trị liệu bao gồm các kỹ thuật đốt điện, áp lạnh, đốt laser…
- Áp dụng đối với trường hợp bệnh nhân bị viêm lộ tuyến ở mức độ khá nặng. Các kỹ thuật này có thể giải quyết được cả tình trạng viêm nhiễm và tình trạng lộ tuyến.
Cách điều trị viêm lộ tuyến cổ tử cung bằng kỹ thuật dao LEEP
Kỹ thuật dao LEEP được coi là kỹ thuật hiện đại, an toàn và hiệu quả hiện nay trong lĩnh vực điều trị viêm lộ tuyến cổ tử cung ở phụ nữ dựa trên nguyên lý sóng điện từ phát cực tới tận tế bào và dùng nguồn năng lượng đốt nóng tập trung vào ổ bệnh.
Hiệu quả cao (tập trung tiêu diệt ổ bệnh nơi sâu chỉ với 1 lần duy, diệt hoàn toàn viêm nhiễm và lộ tuyến).
An toàn nhanh chóng (thời gian điều trị ngắn chỉ với 10 phút, không cần khâu vết thương, không cần cầm máu, không cần nằm viện)
Không tác dụng phụ.
Kỹ thuật dao LEEP có những ưu điểm vượt trội hơn hẳn so với những kỹ thuật trước đó trong điều trị viêm lộ tuyến cổ tử cung.
Tư vấn online miễn phí là cách nhanh mà bạn có thể hiểu rõ viêm lộ tuyến cổ tử cung mà không cần đọc nhiều tài liệu. Hãy nhấp vào bảng bên dưới để được tư vấn và giải đáp miễn phí.

